Videoteca
Unidades Curriculares
ESFUNO - Licenciaturas, tecnicaturas y carrera de Obstetra Partera/o
Técnico en Hemoterapia
UC 1. Introducción a la Biología Celular y Molecular - Carrera Doctor en Medicina
UC 4. Aprendizaje en Territorio 1 - Carrera Doctor en Medicina
UC 5. Biología Celular y Molecular - Carrera Doctor en Medicina
UC 6. Aprendizaje en Territorio 2 - Carrera Doctor en Medicina
UC 7. Anatomía Clínica y Bioética - Carrera Doctor en Medicina
UC 8. Biologia del Desarrollo y los Tejidos- Carrera Doctor en Medicina
UC 9. Histología Neuro, Cardio y Respiratorio - Carrera Doctor en Medicina
UC 10. Neurociencias - Carrera Doctor en Medicina
UC 11. Cardiovascular y respiratorio - Carrera Doctor en Medicina
UC 12. Digestivo, Renal, Endocrino, Metabólico, Reproductor y Desarrollo - Carrera Doctor en Medicina
UC 13. Hematología - Inmunología - Carrera Doctor en Medicina
UC 14. Metodología Científica 1 - Carrera Doctor en Medicina
UC 15. Medicina en el Primer Nivel de Atención - Carrera Doctor e
UC 16. Bases Científicas de la Patología - Carrera Doctor en Medicina
UC 17. Pediatría - Carrera Doctor en Medicina
UC 18. Ginecología y Neonatología - Carrera Doctor en Medicina
UC 19. Clínica Médica - Carrera Doctor en Medicina
UC 20. Patología Médica y Terapéutica - Carrera Doctor en Medicina
UC 21. Clínica Quirúrgica - Carrera Doctor en Medicina
UC 21. Clínica Quirúrgica: Departamento de Emergencia
UC 22. Patología Quirúrgica - Carrera Doctor en Medicina
UC 23. Med. Fam. y Comunitaria-Salud Mental en Comunidad-Psicología Médica - Carrera Doctor en Medicina
UC 24. Metodología Científica 2 - Carrera Doctor en Medicina
UC 17. Pediatría - Carrera Doctor en Medicina
74
IRA alta. Segunda parte
Pesquisa.
PNN. Primera parte.
PNN. Segunda parte
Vómitos en Pediatría
Invaginación intestinal
Apendicitis aguda
Dolor abdominal
Gastroenteritis aguda. Parte 1
Gastroenteritis aguda. Parte 2
Gastroenteritis aguda. Parte 3
Reflujo gastroesfágico
Neumonia Etiologia. Tratamiento Pre Grado.
Piel y tejidos blandos. Primera parte
Piel y tejidos blandos. Segunda parte
GEA3. Segunda parte
Crisis epilépticas.
Crisis febriles.
Anemia - Parte 1
Anemia - Parte 2
Desnutrición (Parte 1)
Desnutrición (Parte 2)
Obesidad - Parte 1
Obesidad - Parte 2
Obesidad - Parte 3
Parasitosis en pediatría
Infecciones Osteoarticulares en Pediatría (Parte 1)
Infecciones Osteoarticulares en Pediatría (Parte 2)
Sibilantes recurrentes (Parte 1)
Sibilantes recurrentes (Parte 2)
Asma (Parte 1)
Asma (Parte 2)
Evaluación del desarrollo. Área motora
Evaluación del desarrollo - Área social
Evaluación del desarrollo - Coordinación
Evaluación del desarrollo - Área del lenguaje
Muerte inesperada del lactante.
TEA - detección precoz
Talla baja
Evaluación de desarrollo
Pesquisa neonatal
Adolescencia
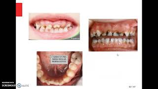
Salud bucal (Parte 1)
Salud bucal (Parte 2)
Manejo inicial DEP
Teórico respiratorio
Pediatra Clase 1 (16/08/2023)
Respiratorio 1
Respiratorio 2
Carné I
Carné II
Carné del adolescente I
Carné del adolescente II
Vacunas
Crecimiento Práctica 1
Crecimiento Práctica 2
Crecimiento Práctica 3
Lactancia
Semiología de piel, mucosas y anexos (Parte 1)
Semiología de piel, mucosas y anexos (Parte 2)
Alimentación 1a parte menor de 2 años
Alimentación 2da parte menor de 2 años
Semiología del aparato nefrourinario 1a Parte - Pediatría
Semiología del aparato nefrourinario 2a parte 2 - Pediatría
Clase abdomen portada 1
Clase abdomen portada 2
SEMIOLOGIA CV parte I
SEMILOLOGIA CV parte II
Gripe
Osteoarticular I
Osteoarticular II
Osteoarticula III
Interpretación de cifras de PA.
IRA alta. Primera parte.